华影光子

新闻中心

News Center

公卫体检新刚需|华影光子相机式DR,能拍胸片+便携低辐射,轻装下乡护老人

政策春风引领相机式X射线机(DR)从“选配”走向“标配”

2025年6月,国家卫健委重磅发文,将胸部数字化X线摄影(DR)正位检查正式纳入65岁及以上老年人免费健康体检项目,公卫体检基层胸片筛查需求全面爆发。但老龄化背景下,老年人行动不便、基层体检场景分散,传统大型DR设备笨重难移、适配性差,甚至部分偏远地区只能靠“听诊+问诊”替代胸片检查,漏诊风险居高不下,基层公卫体检的“最后一公里”难题亟待破解。

华影光子相机式X射线机(DR) 应需而来,作为一款可专业拍摄胸片的便携DR设备,以硬核产品力打破基层设备桎梏,让胸片筛查轻松下乡、入户,成为基层公卫体检的标配神器!

核心优势一:专业拍胸片,资质全适配

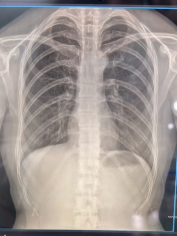
华影光子相机式X射线机(DR)已取得正规医疗器械注册证,突破市面同类产品仅能做四肢检查的局限,具备专业人体胸片拍摄资质,可完成临床数字化X射线摄影诊断,精准匹配国家公卫老年人体检胸片筛查要求,为基层肺结核、肺部肿瘤等疾病早筛提供专业影像支持。

核心优势二:极致轻便,一人即可下乡

重新定义便携标准,实现基层体检“轻装出行”!DR主机重量≤4kg,探测器仅2.9kg,搭配创新折叠机架设计,单人背负、一人提箱即可出发,轻松收纳于汽车后备箱,无需多人搬运,完美适配乡村山路、偏远村落等交通不便场景,真正做到胸片筛查服务跟着老人走。

核心优势三:全场景适配,极端环境也能用

机身适应0℃-50℃极端环境稳定运行,无固定机房限制,流动体检车、乡村卫生室、老人家中等各类场景随取随用,全面覆盖基层公卫体检的多样化需求,让专业胸片检查不再受场地约束。

核心优势四:低辐射更安全,贴心守护老人健康

针对老年人身体脆弱、对辐射敏感的特点,设备在保障高清影像质量的前提下,实现超低辐射剂量,为老年体检人群筑牢辐射安全防线,让老人安心做胸片检查,医护人员放心开展筛查工作。

核心优势五:高效成像,适配体检高峰节奏

贴合基层体检季任务重、老年人耐受时间短的痛点,设备实现3秒快速成像,搭配10秒AI智能初筛,大幅缩短老年人等候时间,提升胸片筛查效率,轻松应对集中体检的高强度工作,让公卫体检服务更高效、更贴心。

从固定机房到流动服务,从笨重设备到相机式便携,从无法普及到轻松下乡,华影光子相机式X射线机(DR)以能拍胸片、极致轻便、低辐射、高适配、快成像的核心优势,精准契合国家公卫老年人体检政策要求,助力基层医疗机构把专业胸片筛查服务送到老人身边,让公卫健康保障无远近,让银龄健康更有“医”靠!

科技守健康,轻装赴基层。华影光子相机式X射线机(DR),做基层公卫胸片筛查的可靠同行!